

ഇടിവെട്ടിയവനെ പാമ്പു കടിച്ചെന്നുപറയുന്നത് പോലെ ഇതിപ്പോഴെന്താണൊരു പുതിയ ബ്ലാക്ക് ഫംഗസ് രോഗം എന്ന് തോന്നിയേക്കാം. കുറഞ്ഞ ദിവസങ്ങൾക്കുള്ളിൽ തന്നെ ഇന്ത്യയിൽ എണ്ണായിരത്തോളം പേർ ബ്ലാക്ക് ഫംഗസ് രോഗബാധിതരാവുകയും ഇരുന്നൂറിൽ കൂടുതൽ ആളുകൾ മരണപ്പെടുകയും ഉണ്ടായി.കഴിഞ്ഞ ദിവസം കേരളത്തിലും കോവിഡ് നെഗറ്റീവ് ആയശേഷം മാരകമായ രീതിയിൽ ബ്ലാക്ക് ഫംഗസ് ബാധിച്ച് ഒരു വനിത മരണപ്പെട്ടു. 36 പേർക്ക് രോഗബാധ ഉണ്ടായിട്ടുണ്ട്.
എന്നാൽ ഈ ഫംഗസ് പുതിയതല്ല. പലതരം കുമിളുകൾ അഥവാ ഫംഗസുകൾ നമുക്ക് ചുറ്റുമുണ്ടല്ലോ. അതിലൊന്നായി മണ്ണിലും ചീഞ്ഞളിഞ്ഞ ഇലകൾ തുടങ്ങിയ ജൈവവസ്തുക്കളിലും വളർന്നു കൊണ്ട് ഇവിടെ ഒക്കെ തന്നെ ഉണ്ടായിരുന്ന ഒരു സൂക്ഷ്മജീവിയാണ് ബ്ലാക്ക് ഫംഗസ്. കോവിഡ് മൂലം രോഗപ്രതിരോധ ശേഷി വല്ലാതെ കുറയുന്ന തക്കം നോക്കി ആളുകളെ ആക്രമിക്കുന്ന 'അവസരവാദിയായ രോഗാണു' ആണ് എന്ന് മാത്രം. മ്യുകോർ മൈക്കോസിസ് എന്ന ബ്ലാക്ക് ഫംഗസിന്റെ അത്രതന്നെ മാരകമല്ലെങ്കിലും അവസരവാദികളായ മറ്റു രണ്ടു രോഗകാരി ഫംഗസുകളാണ് കാൻഡിഡാ, ആസ്പെർജിലസ് എന്നിവ. മനുഷ്യന് ഉപകാരപ്രദവും ഉപദ്രവകാരികളുമായ അമ്പതു ലക്ഷത്തിൽ പരം ഫംഗസുകൾ ഉണ്ട്. പെനിസിലിൻ എന്ന ആന്റിബയോട്ടിക് ഉത്പാദിപ്പിക്കുന്ന പെനിസിലിയം മുതൽ വിഷലിപ്തമായ ഡെത് ക്യാപ് മഷ്റൂം വരെ ഫംഗസ് അഥവാ കുമിൾ വിഭാഗത്തിൽ പെടുന്നു.
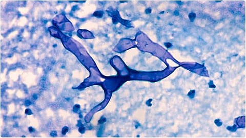
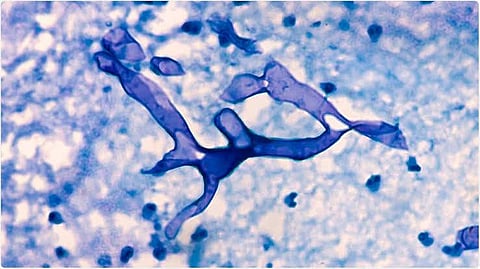
ബ്ലാക്ക് ഫംഗസ് എന്നറിയപ്പെടുന്ന മ്യൂക്കോർ മൈക്കോസിസ് കോവിഡ് ബാധിതരെ തിരഞ്ഞു പിടിച്ചാക്രമിക്കുന്ന തരത്തിൽ കോവിഡ് മഹാമാരിയുടെ രണ്ടാം തരംഗത്തിൽ അപകടകരമാവുന്നുണ്ട്. അന്തരീക്ഷത്തിൽ നിന്നും ശ്വാസം വഴിയും തൊലിപ്പുറത്തെ മുറിവുകൾ വഴിയും ബാധിക്കാവുന്ന ഈ ഫംഗസ് രക്തക്കുഴലുകൾ വഴി കണ്ണുകളെയും കാഴ്ചയെയും തലച്ചോറിനെയും മറ്റ് ആന്തരാവയവങ്ങളെയും ബാധിച്ചുകൊണ്ട് പന്നാല കേസുകളിലും മരണകാരണമായിട്ടുണ്ട്. മനുഷ്യ ശരീരത്തിൽ ഈ രോഗാണുവിന് വളർന്നു പെരുകാൻ വേണ്ട പോഷകങ്ങളുള്ള മറ്റൊരു പ്രതലം മാത്രമാണ് .
1885 മുതൽ തന്നെ റെക്കോർഡ് ചെയ്യപ്പെട്ടിട്ടുണ്ടെങ്കിലും കഴിഞ്ഞ പതിന്നാലു വർഷത്തോളമായി ഈ രോഗബാധ ലോകത്തിന്റെ പല ഭാഗങ്ങളിലും കൂടുതലായി കണ്ടുവരുന്നുണ്ട്. ആധുനിക രോഗ നിർണ്ണയ സങ്കേതങ്ങളും രോഗപ്രതിരോധ ശേഷി കുറയ്ക്കുന്ന ചില ചികിത്സാ രീതിയുമാണ് അതിനു കാരണമായി പറയുന്നത്. വൈദ്യശാത്രം ഇത്രയും മുന്നേറിയെങ്കിലും ബ്ലാക്ക് ഫംഗസ് ബാധിതരുടെ മരണനിരക്ക് ഇപ്പോഴും 50 % ഉണ്ടെന്നുള്ളത് ഈ രോഗം എത്ര മാരകമാണെന്നു വ്യക്തമാക്കുന്നു. ബ്ലാക്ക് ഫംഗസ് രോഗബാധയിൽ നിന്ന് രക്ഷപെട്ടുകിട്ടാൻ, വൈകിപ്പോകാതെയുള്ള രോഗ നിർണ്ണയവും കൃത്യമായ ചികിത്സയും എത്രയും പ്രധാനമാണ്. ഈ രോഗം ഒരാളിൽ നിന്ന് മറ്റൊരാളിലേക്ക് പകരുകയില്ല എന്നത് വലിയ ആശ്വാസമാണ് . എന്നാൽ ഒരുപാടു പേർക്ക് ഈ മാരക രോഗം പിടിപെടുന്നതിനാൽ രാജസ്ഥാൻ തുടങ്ങി പല സംസ്ഥാനങ്ങളും ഒരു മുന്നറിയിപ്പെന്ന നിലയിൽ ഇതിനെ ഒരു മഹാമാരിയായി പ്രഖ്യാപിച്ചിട്ടുണ്ട്.
വൈറ്റ് ഫംഗസ് എന്ന അടുത്ത വില്ലനും ഇക്കഴിഞ്ഞ വ്യാഴാഴ്ച പാട്നയിൽ പ്രത്യക്ഷപ്പെട്ടിട്ടുണ്ട്.പനി,വയറിളക്കം,ശ്വാസം മുട്ടൽ തുടങ്ങിയവയാണ് ലക്ഷണങ്ങൾ . ബ്ലാക്ക് ഫംഗസിന്റേതുപോലെ തന്നെ കോവിഡിന് ശേഷം രോഗ പ്രതിരോധ ശേഷി കുറവുള്ളവരെയാണ് ഈ ഫംഗസും ബാധിക്കുന്നത്.
ആരെയാണ് ബ്ലാക്ക് ഫംഗസ് ബാധിക്കുക ?
ഇപ്പോൾ ബ്ലാക്ക് ഫംഗസ് രോഗബാധയുണ്ടാകുന്നത് കൂടുതലും കോവിഡ് രോഗം വന്നു മാറിയ ആളുകളിലാണ് . ഈ രോഗബാധിതരിൽ മിക്കവാറും പേരുടെയും രോഗപ്രതിരോധ വ്യവസ്ഥ കോവിഡ് മൂലവും ആദ്യമേയുണ്ടായിരുന്ന ഡയബറ്റിസ് തുടങ്ങിയ രോഗങ്ങൾ മൂലവും ദുർബലമായിട്ടുണ്ട്. പ്രത്യേകിച്ച്, നിയന്ത്രിതമല്ലാത്ത ഡയബെറ്റിസ് ഉള്ളവരിൽ ബ്ലാക്ക് ഫംഗസ് ബാധിക്കുവാൻ സാധ്യത കൂടുതലാണ്. മാത്രമല്ല കോവിഡിനോ മറ്റു അസുഖങ്ങൾക്കായോ സ്റ്റിറോയ്ഡ് മരുന്നുകൾ എടുക്കുന്നവരെയും ബ്ലാക്ക് ഫംഗസ് പിടികൂടാം.
കോവിഡ് രോഗ ചികിത്സയുടെ ഭാഗമായി ഓക്സിജൻ തെറാപ്പി നൽകുമ്പോൾ അണുവിമുക്തമായ വെള്ളം ഹ്യൂമിഡിഫൈയറിൽ സമയാസമയങ്ങളിൽ ഉപയോഗിക്കാത്തതും ഈ ഫംഗസ് ബാധയ്ക്കു കാരണമായിട്ടുണ്ട്. പഴകിയ വെള്ളത്തിൽ ഈ ഫംഗസ് വളരുകയും നേരിട്ട് ശ്വാസത്തിലൂടെ ശ്വാസനാളത്തിലും ശ്വാസകോശത്തിലും മറ്റ് ആന്തരികാവയവങ്ങളിലും ബാധിക്കുകയും ചെയ്യും. ഇതിന്റെ പല രോഗ ലക്ഷണങ്ങളും കോവിഡിന്റേതുപോലെ തന്നെ കാണപ്പെടുന്നതിനാൽ ആദ്യഘട്ടത്തിൽ കൃത്യമായ രോഗ നിർണ്ണയം പോലും നടക്കാതെ പോവാം.പൊതുവെ ഏതെങ്കിലും കാരണത്താൽ രോഗപ്രതിരോധ ശേഷി കുറഞ്ഞ ആരെയും ഈ രോഗം ബാധിക്കാൻ സാധ്യത ഉണ്ടെന്നു പറയാം എന്നാൽ അപൂര്വമായെങ്കിലും മേല്പറഞ്ഞ രോഗാവസ്ഥകൾ ഇല്ലാത്തവരെയും ഈ ഫംഗസ് ബാധിക്കാറുണ്ട്. അതിനാൽ ശ്രദ്ധിക്കുക തന്നെ വേണം.
രോഗ ലക്ഷണങ്ങൾ
ബ്ലാക്ക് ഫംഗസ് ബാധ, ശ്വാസകോശം ചർമ്മം തുടങ്ങിയ അവയവ വ്യവസ്ഥകളിൽ നിന്ന് മറ്റു അന്തരീകാവയവങ്ങളിലേയ്ക്ക് പടരാം. ഉദാഹരണത്തിന് , ഈ സൂക്ഷ്മ ജീവിയുടെ വിത്തുകൾ എന്ന് വിളിക്കാവുന്ന ഫംഗൽ സ്പോറുകൾ ശ്വാസത്തിൽകൂടെ ഉള്ളിൽ കടന്നാൽ ശ്വാസനാളം വഴി സൈനസുകളിലും കണ്ണിലും ചെവിയിലും താടിയെല്ലിലും ഒക്കെ പടരും.മൂക്കിലും വശങ്ങളിലും മൂക്കിൽ നിന്നുള്ള സ്രവങ്ങളിലും കറുപ്പ് നിറം, ചുവന്നു വീർത്ത കണ്ണുകൾ ,കാഴ്ച മങ്ങൽ അസഹ്യമായ തലവേദന എന്നിവയുണ്ടാകും. ഇത്തരം ലക്ഷണങ്ങൾ കണ്ടാൽ ഉടൻ തന്നെ വൈദ്യ സഹായം തേടേണ്ടതാണ്. രോഗം തലച്ചോറിലെത്തിയാൽ കൂടുതൽ അപകടകരമാണ് താനും.
ഇനി ബ്ലാക്ക് ഫംഗസ് ശ്വാസകോശത്തെ ആണ് നേരിട്ട് ബാധിച്ചതെങ്കിൽ പനി, ചുമ, രക്തം കലർന്ന കഫം, ശ്വാസം മുട്ടൽ ,നെഞ്ചു വേദന തുടങ്ങിയ ലക്ഷണങ്ങൾ ഉണ്ടാവും .രക്തക്കുഴലുകൾ പൊട്ടാനും ഇടയുണ്ട് . ബ്ലാക്ക് ഫംഗസിനു ഏറ്റവും അനുയോജ്യമായ വാസസ്ഥാനം വലുതും ചെറുതുമായ രക്തക്കുഴലുകളാണ് . അങ്ങിനെ അവയവങ്ങളിലേക്കുള്ള രക്ത ഓട്ടം നിലച്ചു പോകാൻ ഇടയാക്കും .അതിനാൽ കൂടിയാണ് രോഗബാധ ഇത്ര മാരകമായിരിക്കുന്നത്.
അപൂർവ മായെങ്കിലും ബ്ലാക്ക് ഫംഗസ് ദഹനേന്ദ്രിയ വ്യൂഹത്തെ ബാധിക്കാം. അത്തരം കേസുകളിൽ പനി ,വയറു വേദന ,വയറ്റിനുള്ളിൽ രക്ത സ്രാവം, കരൾ രോഗം എന്നിവയുണ്ടാകാം.
മേല്പറഞ്ഞ തരങ്ങളിൽ അല്ലാതെ തൊലിപ്പുറത്തു നിന്ന് ആരംഭിച്ചു ശരീരത്തിനുള്ളിലേയ്ക്ക് കടന്നു മറ്റവയവങ്ങളിൽ ബാധിക്കുന്ന തരത്തിലും ,ശരീരത്തിൽ ആകമാനവും ഒക്കെ ബ്ലാക്ക് ഫംഗസ് രോഗബാധ ഉണ്ടാകാവുന്നതാണ് . തലച്ചോറിലും നാഡീവ്യൂഹത്തിലും ബാധിച്ച് അതിമാരകമാവുന്ന അവസ്ഥയും റിപ്പോർട്ട് ചെയ്യപ്പെട്ടിട്ടുണ്ട്.
രോഗനിർണയവും ചികിത്സയും
മേല്പറഞ്ഞപോലെ പലതരത്തിലുള്ള ലക്ഷണങ്ങളുണ്ടാവുക ,പലതും കോവിഡിന്റെ ലക്ഷണങ്ങൾ പോലെ തന്നെ തോന്നുക ഇതൊക്കെ ബ്ലാക്ക് ഫംഗസ് രോഗ നിർണയത്തിന് കനത്ത വെല്ലുവിളികളാണ്. സാധാരണ രക്ത പരിശോധനയിൽ രക്തത്തിലെ പഞ്ചാരസാരയുടെ അളവിന്റെ വ്യതിയാനമോ വെളുത്ത രക്താണുക്കളുടെ എണ്ണത്തിൽ വ്യതിയാനമോ കണ്ടെന്നുവരാം, അല്ലാതെ മറ്റു രോഗ ലക്ഷണങ്ങൾ ഉണ്ടാകണമെന്നില്ല. എക്സ് റേ ,സി ടി സ്കാൻ എന്നിവയിലും പ്രത്യേകിച്ച് ലക്ഷണങ്ങൾ കാണണം എന്നില്ല .എന്നാൽ ബ്രോങ്കോസ്കോപ്പി, എൻഡോസ്കോപ്പി എന്നീ രോഗനിർണയ രീതികളും തുടർന്നുള്ള ബിയോപ്സിയും ഹിസ്റ്റോ പാത്തോളജി പരിശോധനയും കൊണ്ട് ഈ ഫംഗസിന്റെ സാന്നിധ്യം കണ്ടെത്തുകയും കൃത്യമായ ചികിത്സ നടപ്പാക്കുകയും ചെയ്യാം.
കൃത്യമായ ചികിത്സയുണ്ട് എന്നുള്ളത് ശുഭ പ്രതീക്ഷയുണ്ടാക്കുന്ന കാര്യമാണ് ചാൾസ് സ്മിത്ത് ,വില്യം വിൻ എന്നീ ശാസ്ത്രജ്ഞർ 1953 ൽ കണ്ടുപിടിച്ച ലൈസോസോമൽ ആംഫോടെറിസിൻ ബി എന്ന ആന്റി ഫംഗൽ മരുന്ന് ഈ രോഗബാധയ്ക്ക് ഫലപ്രദമായ പ്രതിവിധിയാണ്. മറ്റുചില കുമിൾ നാശിനി മരുന്നുകൾ ഉണ്ടെങ്കിലും ആംഫോടെറിസിൻ ബി തന്നെയാണ് ഫലപ്രദമായി ഉപയോഗിക്കപ്പെടുന്നത് . രോഗം വല്ലാതെ പടർന്നു പിടിച്ച് അവയവങ്ങൾ നശിക്കാനും മറ്റും തുടങ്ങുന്നതിനു മുന്നേ ചികിത്സ തുടങ്ങണം,രോഗബാധയുടെ തീവ്രത അനുസരിച്ചു ആഴ്ചകൾ മുതൽ മാസങ്ങൾ വരെ ചികിത്സ തുടരണം , കണ്ണുകൾ തുടങ്ങിയ പ്രധാന അവയവങ്ങളിൽ ഫംഗസ് ബാധിച്ചാൽ ഈ മരുന്നിനൊപ്പം ശസ്ത്രക്രിയ കൊണ്ട് രോഗബാധിത ഭാഗങ്ങൾ നീക്കം ചെയ്യണം എന്നിങ്ങനെയാണ് ചികിത്സാ രീതികൾ. രോഗികൾക്ക് മുപ്പതു ദിവസത്തോളം ആംഫോടെറിസിൻ കൊടുക്കേണ്ടിവരാം.ഏതായാലും ആന്റി വൈറൽ മരുന്നുകളോളം വിലക്കൂടുതലില്ല ഈ മരുന്നിന്.
ഡയബറ്റീസ് കാൻസർ തുടങ്ങിയ രോഗങ്ങളുള്ളവർക്കാണ് ഈ അവസ്ഥ ബാധിച്ചിട്ടുള്ളതെങ്കിൽ പ്രസ്തുത രോഗങ്ങൾ സവിശേഷ ശ്രദ്ധയോടെ ഉടനടി നിയന്ത്രണത്തിൽ കൊണ്ടു വരേണ്ടതാണ് . പ്രത്യേകിച്ച് ,രക്തത്തിലെ പഞ്ചസാരയുടെ അളവ് ചികിത്സയാൽ നിയന്ത്രിക്കണം.
മുൻകരുതലുകൾ
ഡയബറ്റിസും കാൻസറും മറ്റു രോഗപ്രതിരോധ സംബന്ധിയായ രോഗങ്ങളും ഉള്ളവർക്ക് കോവിഡ് ബാധിച്ചാൽ, കോവിഡ് മാറിയതിനു ശേഷവും അവരുടെ മേല്പറഞ്ഞ രോഗാവസ്ഥകളെ കൃത്യമായി നിയന്ത്രണത്തിൽ കൊണ്ടുപോവുക. ഡോക്ടറുടെ സഹായത്തോടെ ഡയബെറ്റിസ് നിയ ന്ത്രണത്തിൽ തന്നെ കൊണ്ടു പോവുക.
കോവിഡിനോ മറ്റു രോഗങ്ങൾക്കോ സ്റ്റിറോയ്ഡ് മരുന്നുകൾ കഴിക്കുന്നവർ ഡോക്ടറുടെ നിർദ്ദേശമനുസരിച്ചു യഥാസമയം കൃത്യം ഡോസ് മാത്രം പ്രസ്തുത മരുന്നുകൾ കഴിക്കുക. ഓക്സിജൻ തെറാപ്പി ഉപയോഗിക്കുന്നവർ ഹ്യൂമിഡിഫിയറിൽ സമയാസമയം അണുവിമുക്തമായ വെള്ളം ഉപയോഗിക്കുക (ആശുപത്രികളും മറ്റു ചികിത്സാ കേന്ദ്രങ്ങളും ആണ് ഇക്കാര്യത്തിൽ ശ്രദ്ധിക്കേണ്ടത് .ചെറിയ അശ്രദ്ധ പോലും ഇങ്ങനെയൊരു സന്ദർഭത്തിൽ രോഗിയുടെ ജീവനെടുക്കാം)
പൊടിയും ഈർപ്പവും മറ്റും ഉള്ള സ്ഥലങ്ങൾ സന്ദർശിക്കേണ്ടി വന്നാൽ മാസ്കും ദേഹം മൂടുന്ന തരത്തിലുള്ള വസ്ത്രങ്ങളും ധരിക്കുക (തൊലിപ്പുറത്തെ ചെറു മുറിവുകളിൽ കൂടിയും ഫംഗസ് കടക്കാം എന്നതിനാലാണിത്)
മേല്പറഞ്ഞ രോഗലക്ഷണങ്ങളിൽ ഏതു കണ്ടാലും ഉടൻ വൈദ്യ സഹായം തേടുക. ജാഗ്രത പുതിയ ജീവിത രീതിയായി തന്നെ കണക്കാക്കണം.
(കളമശ്ശേരി എസ്സിഎംഎസ് ബയോസയന്സ് ആന്ഡ് ബയോടെക്നോളജി ഇന്സ്റ്റിറ്റിയൂട്ട് ഡെപ്യൂട്ടി ഡയറക്ടറാണ് ലേഖിക)
Subscribe to our Newsletter to stay connected with the world around you
Follow Samakalika Malayalam channel on WhatsApp
Download the Samakalika Malayalam App to follow the latest news updates