

തിരുവനന്തപുരം: ബ്ലാക്ക് ഫംഗസ് ബാധിതരെ ചികിത്സിക്കാന് ഒരു ദിവസത്തേക്ക് സ്വകാര്യ ആശുപത്രികള് മരുന്നിനു മാത്രം ഈടാക്കുന്നത് എഴുപതിനായിരം രൂപ വരെ. ആന്റി ഫംഗല് മരുന്നായ ലിപോസോമല് ആംഫോടെറിസിന് ബിക്കു വന് തുകയാണ് ആശുപത്രികള് ഈടാക്കുന്നതെന്ന് ന്യൂ ഇന്ത്യന് എക്സ്പ്രസ് റിപ്പോര്ട്ട് ചെയ്യുന്നു.
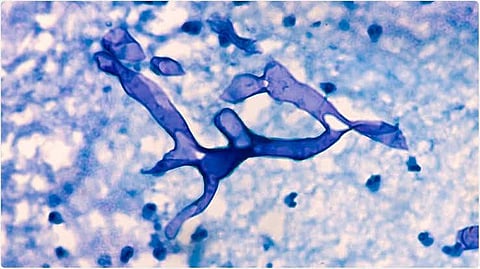
കേരളത്തില് ഇതുവരെ 64 പേര്ക്കാണ് മ്യൂക്കോര്മൈക്കോസിസ് അഥവാ ബ്ലാക് ഫംഗസ് റിപ്പോര്ട്ട് ചെയ്തത്. പതിനഞ്ചു മരണം ഇതുവരെ രേഖപ്പെടുത്തിയിട്ടുണ്ട്. നാല്പ്പത്തിയഞ്ചോളം പേരാണ് നിലവില് ബ്ലാക്ക് ഫംഗസ് ബാധിച്ചു ചികിത്സയിലുള്ളത്.
ആംഫോടെറിസിന് ബിക്കായി പ്രതിദിനം അറുപതിനായിരം മുതല് എഴുപതിനായിരം വരെ നല്കേണ്ടിവരുന്നുണ്ടെന്ന് രോഗികളുടെ കുടംബങ്ങള് പറയുന്നു. കൂടുതല് വില നല്കിയാല് തന്നെ മരുന്നു കിട്ടാനില്ലാത്ത അവസ്ഥയും ഉണ്ടെന്നാണ് അവര് ചൂണ്ടിക്കാട്ടുന്നത്.
കേരളത്തില് ഇതുവരെ ബ്ലാക് ഫംഗസ് ചികിത്സയ്ക്കു സര്ക്കാര് നിരക്കു നിശ്ചയിച്ചിട്ടില്ല. അതുകൊണ്ടുതന്നെ സ്വകാര്യ ആശുപത്രികള് ഉയര്ന്ന തുക ഈടാക്കുന്നുണ്ടെന്നാണ് ആക്ഷേപം. മെഡിക്കല് കോളജുകളിലോ മറ്റു സര്ക്കാര് ആശുപത്രികളിലോ കിടക്ക ഒഴിവില്ലാത്തതിനാല് ബ്ലാക് ഫംഗസ് രോഗികളെ ചികിത്സിക്കാന് പലര്ക്കും സ്വകാര്യ ആശുപത്രികളെ ആശ്രയിക്കേണ്ടിവരുന്നുണ്ട്. ഇവര് കടക്കെണിയിലേക്കു വീണുപോവുകയാണെന്നാണ് റിപ്പോര്ട്ട് പറയുന്നത്. സംസ്ഥാനത്ത് ബ്ലാക് ഫംഗസ് റിപ്പോര്ട്ട് ചെയ്ത് രണ്ടു മാസം ആവുമ്പോഴും മരുന്നിന്റെ ലഭ്യത ഉറപ്പാക്കാന് പോലും സര്ക്കാര് ഒന്നും ചെയ്തിട്ടില്ലെന്ന് രോഗികളുടെ ബന്ധുക്കള് പറയുന്നു. മരുന്നിന്റെ ലഭ്യത ഉറപ്പാക്കുകയും അതിന് നിരക്കു നിശ്ചയിക്കുകയുമാണ് സര്ക്കാര് അടിയന്തരമായി ചെയ്യേണ്ടതെന്നാണ് ഇവരുടെ ആവശ്യം.
Subscribe to our Newsletter to stay connected with the world around you
Follow Samakalika Malayalam channel on WhatsApp
Download the Samakalika Malayalam App to follow the latest news updates