

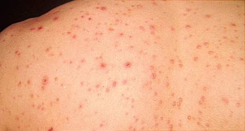
തിരുവനന്തപുരം: സംസ്ഥാനത്ത് ചിക്കന് പോക്സ് പടരുന്നു. പതിനൊന്ന് ദിവസത്തിനിടെ 746 പേര്ക്കാണ് രോഗം സ്ഥിരീകരിച്ചത്. എല്ലാ ജില്ലകളിലും ദിവസവും രോഗം റിപ്പോര്ട്ട് ചെയ്യുന്നുണ്ടെന്ന് ആരോഗ്യവകുപ്പ് അറിയിച്ചു. മലപ്പുറത്താണ് ഏറ്റവുമധികം രോഗികളുള്ളത്.
മലപ്പുറം ജില്ലയില് മാത്രം 139 പേര്ക്കാണ് ഈ മാസം ഒന്നു മുതല് 11 വരെയുള്ള കാലയളവില് രോഗം ബാധിച്ചത്. നാലിനാണ് ഈ മാസം ഏറ്റവുമധികം രോഗം റിപ്പോര്ട്ട് ചെയ്തത്97. കുറവ് ഈ മാസം അഞ്ചിനായിരുന്നു- 29.
അന്തരീക്ഷത്തിലെ ചൂട് കൂടുന്നതിനനുസരിച്ചാണ് രോഗം പടരുന്നത്. ഏപ്രിലിലും മേയിലും രോഗം പടരാന് സാധ്യതയുണ്ടെന്നും ജാഗ്രത പാലിക്കണമെന്നും ആരോഗ്യപ്രവര്ത്തകര് മുന്നറിയിപ്പ് നല്കിയിരുന്നു.
Subscribe to our Newsletter to stay connected with the world around you
Follow Samakalika Malayalam channel on WhatsApp
Download the Samakalika Malayalam App to follow the latest news updates