

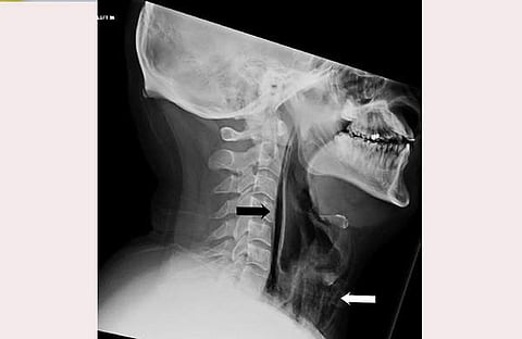
ലണ്ടന്: തുമ്മല് പുറത്തേയ്ക്ക് വരുന്നത് തടയാന് വായും മൂക്കും അടച്ചുപിടിച്ച ബ്രിട്ടീഷ് പൗരന്റെ തൊണ്ടയ്ക്ക് പരിക്ക്. തുമ്മല് അടക്കിപ്പിടിക്കാന് ശ്രമിക്കുന്നതിനിടെ, തുമ്മലിന്റെ ശക്തി കാരണം 34കാരന്റെ തൊണ്ട പൊട്ടാന് കാരണമായതായി ബിഎംജി കേസ് റിപ്പോര്ട്ടിലെ പ്രബന്ധത്തില് പറയുന്നു.
ഭക്ഷണം കഴിക്കുമ്പോള് വേദന അനുഭവപ്പെടുക, ശബ്ദത്തില് മാറ്റം, കഴുത്തില് നീര് തുടങ്ങിയ ലക്ഷണങ്ങള് കണ്ടതിനെ തുടര്ന്ന് യുവാവ് ചികിത്സ തേടിയതോടെയാണ് തൊണ്ട പൊട്ടിയ കാര്യം കണ്ടെത്തിയത്. തുമ്മല് അടക്കിപ്പിടിക്കാന് ശ്രമിക്കുന്നതിനിടെ, തൊണ്ടയിലെ ചില കോശങ്ങളില് വായു കുടുങ്ങിയതിനെ തുടര്ന്നാണ് തൊണ്ട പൊട്ടിയതെന്ന് ഡോക്ടര്മാര് പറഞ്ഞു. ശ്വാസനാളത്തിന്റെ സ്വമേധയാ ഉള്ള വിള്ളല് വളരെ അപൂര്വമാണ്. സാധാരണയായി ഛര്ദ്ദി, വേദന, കനത്ത ചുമ അല്ലെങ്കില് ഏതെങ്കിലും തരത്തിലുള്ള ആഘാതം എന്നിവ മൂലമാണ് ഇത് സംഭവിക്കുന്നത്.
കഴുത്തില് കടുത്ത അണുബാധ ഉണ്ടാവാതിരിക്കാന് യുവാവിനെ ആശുപത്രിയില് നിരീക്ഷണത്തിലാക്കി. ആന്റിബയോട്ടിക്സ് അടക്കമുള്ള ചികിത്സാരീതികള് വഴി രണ്ടാഴ്ച കൊണ്ട് തന്നെ യുവാവിന്റെ രോഗം ഭേദമായതായും ഡോക്ടര്മാര് പറയുന്നു. തുമ്മല് വരുമ്പോള് ഇത്തരത്തില് അടക്കിപ്പിടിക്കാന് ശ്രമിക്കുന്നത് ആരോഗ്യത്തിന് ഹാനികരമാണെന്നും ഡോക്ടര്മാര് മുന്നറിയിപ്പ് നല്കി.
ഈ വാര്ത്ത കൂടി വായിക്കൂ
സമകാലിക മലയാളം ഇപ്പോള് വാട്സ്ആപ്പിലും ലഭ്യമാണ്. ഏറ്റവും പുതിയ വാര്ത്തകള് അറിയാന് ക്ലിക്ക് ചെയ്യൂ
Subscribe to our Newsletter to stay connected with the world around you
Follow Samakalika Malayalam channel on WhatsApp
Download the Samakalika Malayalam App to follow the latest news updates